找回密碼
 註冊
查看: 2641|回覆: 33

[自然地理] 神秘的撒哈拉之眼

 火.. [複製鏈接]
簽到
328

17

主題

478

回帖

990

積分

高級會員

積分
990
發表於 2012-5-27 11:54:22 | 顯示全部樓層 |閱讀模式
有些事……,人們就算身在其中,也難以知曉全貌……。
在非洲幅員廣大,橫跨多國的撒哈拉沙漠,
有一處只能從外太空才能看見的奇觀─撒哈拉之眼(Eye of the Sahara),
在衛星空拍圖上,這個看來巨大又神祕的同心圓,
就像是麥田事件般令人感到困惑,
至今仍無科學家提出成形的原因,
到底為什麼地球上會出現這般專屬外星人欣賞的奇觀?

超巨大的撒哈拉之眼,只有在外太空才能看得到!

太空競賽後誕生的超瘋狂景像
撒哈拉之眼位於西非茅利塔尼亞(Mauritania)境內,
當美國太空總署的地球觀測站(NASA Earth Observatory) 在二十一世紀初,
發現這個巨大,宛如「牛眼」及古代生物「菊石」形狀的奇觀,
不僅燃起學者的激辯,網友也將數幅珍貴的網路空拍圖PO上網,
將撒哈拉之眼與澳洲藍洞、北愛爾蘭巨人之路等景點,列為網路流傳的世界十大奇景!
而這個神祕的地形,科學家也將之命名為理查特結構(Richat Structure),
地球上少見的天然地質景觀。

像是遺落在沙漠中的同心圓,撒哈拉之眼的成因原因至今是謎,沒人說得清。

沒看過這樣的地球
時而顯現出灰藍色的地貌,時而呈現出鮮豔的色彩,
不同單位發表的衛星空拍圖,都將撒哈拉之眼的特別之處,
以顏色加以區分突顯,像是美國地質調查局(United States Geological Survey)所發表的圖片,
就使用了擁有增強型主題成像傳感器的特拉(Terra)及陸地7號(Landsat 7)衛星,
從外太空的太陽同步軌道空拍此地,地球上的地形起伏都一覽無遺,
他們將撒哈拉之眼地區的太陽輻射及波長,以各種顏色區分,
更讓人可以清楚端詳地形層層分明的樣貌。

科學家用各種顏色標示地形,試圖讓民眾一目了然,科學家好做分析。

撒哈拉沙漠傳說又一筆
令人震撼的景像,經過數年科學家的觀測,
撒哈拉之眼依舊維持原始結構;曾經有科學家提出是因為隕石撞地球,
才會有理查特結構的出現,但就連發現此地的NASA,
都難以提出確切的資料證實這個說法,僅提出數個假設;
包括可能是因為撒哈拉沙漠在侵蝕作用及陸地抬升下,
兩者交會造成的地形落差。邊界不易受到侵蝕影響的石英岩,
連成這般巨大的幾何圖形!近年科學家又發現同樣在撒哈拉沙漠,
位於東部的國家蘇丹、利比亞及埃及交界處,
也有小型的撒哈拉之眼現蹤跡,一東一西,
更增添理查特結構的討論性。


撒哈拉之眼泛著奇異的藍光,左看右看都令人難以相信這是沙漠景觀。
大家好

0

主題

50

回帖

100

積分

初級會員

積分
100
發表於 2012-5-27 12:47:31 | 顯示全部樓層
神之眼啦,支持先
回覆 讚好 不讚 使用道具

舉報

0

主題

261

回帖

100

積分

初級會員

積分
100
發表於 2012-5-27 13:26:31 | 顯示全部樓層
為什麼只有外太空才看到?肉眼看不到嗎?
回覆 讚好 不讚 使用道具

舉報

0

主題

880

回帖

150

積分

初級會員

積分
150
發表於 2012-5-27 16:32:34 | 顯示全部樓層
咁似中國羅布泊咁!!
回覆 讚好 不讚 使用道具

舉報

4

主題

412

回帖

100

積分

初級會員

積分
100
發表於 2012-5-27 17:44:21 | 顯示全部樓層
真係幾奇怪喎
回覆 讚好 不讚 使用道具

舉報

300

主題

5949

回帖

100

積分

初級會員

我係地球人

積分
100

小遊戲王勳章百萬富翁勳章千億富豪勳章萬千寵愛勳章141榮譽勳章論譠元老勳章高級元老勳章超級元老勳章傑出成就勳章「友誼大使」勳章「消閒興趣」分區勳章

發表於 2012-5-28 05:30:38 | 顯示全部樓層
anan84 發表於 2012-5-27 13:26
為什麼只有外太空才看到?肉眼看不到嗎?

因為高度夠高,才能看得到全景。

正如你在地圖睇到長洲島好似一個啞鈴,

但當你在長洲東堤游水果時,

你能看到長洲的全貌嗎?
【自然奇觀】 * 我 ♥ 大自然
【動漫會社】 * 同好聚集地
一世一香港站歡迎大家,我們會為你搜羅豐富的消閒興趣資訊;
好讓大家安坐家中,透過會員的精心分享,舒緩日常生活的壓力。
回覆 讚好 不讚 使用道具

舉報

300

主題

5949

回帖

100

積分

初級會員

我係地球人

積分
100

小遊戲王勳章百萬富翁勳章千億富豪勳章萬千寵愛勳章141榮譽勳章論譠元老勳章高級元老勳章超級元老勳章傑出成就勳章「友誼大使」勳章「消閒興趣」分區勳章

發表於 2012-5-28 05:35:11 | 顯示全部樓層
avmen112005 發表於 2012-5-27 16:32
咁似中國羅布泊咁!!

係喎,有幾分相像,多謝報告~
ChinaLopNurKumtagDesert.jpg
【自然奇觀】 * 我 ♥ 大自然
【動漫會社】 * 同好聚集地
一世一香港站歡迎大家,我們會為你搜羅豐富的消閒興趣資訊;
好讓大家安坐家中,透過會員的精心分享,舒緩日常生活的壓力。
回覆 讚好 不讚 使用道具

舉報

544

主題

8694

回帖

100

積分

初級會員

量小非君子,無度不丈夫。

積分
100

百萬富翁勳章萬千寵愛勳章論譠元老勳章高級元老勳章超級元老勳章傑出成就勳章「友誼大使」勳章141紳士勳章成家立室勳章

發表於 2012-5-28 14:59:28 | 顯示全部樓層
我最想知係點解會有藍光呢
回覆 讚好 不讚 使用道具

舉報

0

主題

118

回帖

21

積分

進階新手

積分
21
發表於 2012-5-28 17:35:00 | 顯示全部樓層
話唔定又係夕外星人搞事
回覆 讚好 不讚 使用道具

舉報

152

主題

1320

回帖

100

積分

初級會員

積分
100

論譠元老勳章百萬富翁勳章

發表於 2012-5-29 00:16:06 | 顯示全部樓層
真係第一次見!!!!多謝分享
宇宙之大,人為何生?
回覆 讚好 不讚 使用道具

舉報

0

主題

2157

回帖

2710

積分

金牌會員

積分
2710
發表於 2012-5-29 01:25:44 | 顯示全部樓層
SSS so special !多謝師兄
回覆 讚好 不讚 使用道具

舉報

300

主題

5949

回帖

100

積分

初級會員

我係地球人

積分
100

小遊戲王勳章百萬富翁勳章千億富豪勳章萬千寵愛勳章141榮譽勳章論譠元老勳章高級元老勳章超級元老勳章傑出成就勳章「友誼大使」勳章「消閒興趣」分區勳章

發表於 2012-5-29 04:39:23 | 顯示全部樓層
雞虫大支 發表於 2012-5-28 14:59
我最想知係點解會有藍光呢
時而顯現出灰藍色的地貌,時而呈現出鮮豔的色彩,
不同單位發表的衛星空拍圖,都將撒哈拉之眼的特別之處,
以顏色加以區分突顯,像是美國地質調查局(United States Geological Survey)所發表的圖片,
就使用了擁有增強型主題成像傳感器的特拉(Terra)及陸地7號(Landsat 7)衛星,
從外太空的太陽同步軌道空拍此地,地球上的地形起伏都一覽無遺,
他們將撒哈拉之眼地區的太陽輻射及波長,以各種顏色區分,
更讓人可以清楚端詳地形層層分明的樣貌。


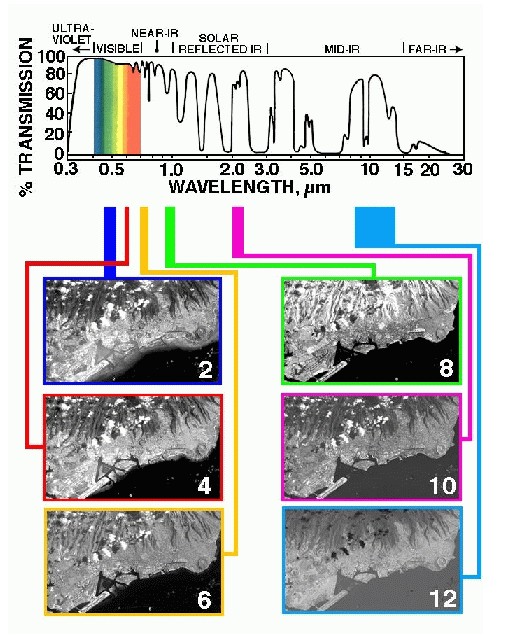
內文也有提及,大多數觀測地表的衛星,都有不同功能,並非如人眼一樣地「看」這個世界的。

衛星是分別從不同的光波波段感測那個波段的光波強度。
所以這些從衛星而來的原始影像並非是一張全彩照片,而是很多張不同波段的黑白照片,
它們可以經由地面電腦系統的處理,分別賦與各波段影像的顏色,再疊合起來成為彩色影像,
這就是為什麼我們常說一些彩色的衛星影像是「假色」影像。

看得懂下圖就知什麼為不同波段。

左起:紫外線Ultra-violet;可見光visible;紅外線Infrared (IR)
Screenshot_1.jpg
【自然奇觀】 * 我 ♥ 大自然
【動漫會社】 * 同好聚集地
一世一香港站歡迎大家,我們會為你搜羅豐富的消閒興趣資訊;
好讓大家安坐家中,透過會員的精心分享,舒緩日常生活的壓力。
回覆 讚好 不讚 使用道具

舉報

202

主題

5萬

回帖

25萬

積分

究極元老

屠殺日本狗

積分
258091

論譠元老勳章高級元老勳章萬千寵愛勳章傑出成就勳章超級元老勳章百萬富翁勳章究極元老勳章141榮譽勳章

發表於 2012-5-29 14:58:47 | 顯示全部樓層
very interesting and looks like a lake
回覆 讚好 不讚 使用道具

舉報

0

主題

64

回帖

100

積分

初級會員

積分
100
發表於 2012-5-29 16:36:30 | 顯示全部樓層
多謝大大分享
回覆 讚好 不讚 使用道具

舉報

1

主題

159

回帖

210

積分

中級會員

積分
210
發表於 2012-6-2 19:34:09 | 顯示全部樓層
回應 路過的行人 #14 的帖子

這個真是厲害的沒話說
太壯觀了
回覆 讚好 不讚 使用道具

舉報

1

主題

46

回帖

66

積分

初級會員

積分
66
發表於 2012-6-16 12:10:35 | 顯示全部樓層
挺神奇的東西
回覆 讚好 不讚 使用道具

舉報

發表於 2012-6-16 14:50:20 | 顯示全部樓層
世界就是这样的神奇, 人还是安分守己好了, 做人应做的事吧, 人和物也好, 和平共处不就是最好吗?
回覆 讚好 不讚 使用道具

舉報

300

主題

5949

回帖

100

積分

初級會員

我係地球人

積分
100

小遊戲王勳章百萬富翁勳章千億富豪勳章萬千寵愛勳章141榮譽勳章論譠元老勳章高級元老勳章超級元老勳章傑出成就勳章「友誼大使」勳章「消閒興趣」分區勳章

發表於 2012-6-18 00:56:10 | 顯示全部樓層
lingjie 發表於 2012-6-16 14:50
世界就是这样的神奇, 人还是安分守己好了, 做人应做的事吧, 人和物也好, 和平共处不就是最好吗? ...

這跟本帖主題"撒哈拉之眼"有什麽關連呢?
【自然奇觀】 * 我 ♥ 大自然
【動漫會社】 * 同好聚集地
一世一香港站歡迎大家,我們會為你搜羅豐富的消閒興趣資訊;
好讓大家安坐家中,透過會員的精心分享,舒緩日常生活的壓力。
回覆 讚好 不讚 使用道具

舉報

0

主題

248

回帖

331

積分

中級會員

積分
331
發表於 2012-6-20 16:04:05 | 顯示全部樓層
   神奇的大自然,帶俾大家好多難以解釋的壯觀奇景···
回覆 讚好 不讚 使用道具

舉報

1

主題

54

回帖

100

積分

初級會員

積分
100
發表於 2012-6-21 00:53:48 | 顯示全部樓層
幾靚WOR~
大自然奇觀
回覆 讚好 不讚 使用道具

舉報

您需要登錄後才可以回帖 登錄 | 註冊

本版積分規則

Archiver|聯絡我們|141華人社區

GMT+8, 2026-5-28 13:34

Powered by Discuz! X3.5

© 2001-2026 Discuz! Team.

快速回覆 返回頂部 返回列表