找回密碼
 註冊
查看: 1773|回覆: 12

拇趾外翻 (Hallux Valgus)

 火.. [複製鏈接]
簽到
154

399

主題

2萬

回帖

8萬

積分

超級元老

望靚女,眼金金!

積分
85184

「潮流時尚」勳章「貼圖之星」勳章「天蠍座」勳章收藏家勳章141紳士勳章成家立室勳章「型男嗜好」勳章「玄機妙算」勳章百萬富翁勳章萬千寵愛勳章傑出成就勳章高級元老勳章超級元老勳章「友誼大使」勳章「為食之神」勳章「能言善辯」勳章「數碼達人」勳章精華帖王勳章論譠元老勳章

發表於 2011-7-21 13:31:50 | 顯示全部樓層 |閱讀模式
本帖最後由 playboy18 於 2011-7-21 13:39 編輯

拇趾外翻 (Hallux Valgus)

從雜誌看見一張女星穿著露趾高跟鞋相片。相片標題不是說女星美麗動人,焦點是她那雙變形的拇趾,重疊在二趾之下。女星患上的是拇趾外翻 (Hallux Valgus)。

顧名思義,此症是拇趾(腳趾公)向外翻側變形。情況嚴重者,會有外旋變形情況,對二趾做成壓迫,甚至重疊於二趾之上或下。

拇趾外翻與遺傳有關,估計有十份一三十至五十歲的成年人,患有此症。而女性比男性發病率高十倍。它可以早於青春期開始發生。除了遺傳外,經常穿著狹窄、尖頭高跟鞋、偏平足等,都是拇趾外翻的誘因。
1.jpg
2.jpg

399

主題

2萬

回帖

8萬

積分

超級元老

望靚女,眼金金!

積分
85184

「潮流時尚」勳章「貼圖之星」勳章「天蠍座」勳章收藏家勳章141紳士勳章成家立室勳章「型男嗜好」勳章「玄機妙算」勳章百萬富翁勳章萬千寵愛勳章傑出成就勳章高級元老勳章超級元老勳章「友誼大使」勳章「為食之神」勳章「能言善辯」勳章「數碼達人」勳章精華帖王勳章論譠元老勳章

 樓主| 發表於 2011-7-21 13:35:41 | 顯示全部樓層
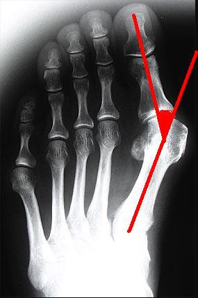
病徵及診斷:

患者拇趾呈外傾及旋轉變形。而第一蹠骨的頭部向內突出。從而發生擠壓、產生發炎。如拇趾外傾嚴重,還會重疊在二趾上或下,影響外觀及令患者疼痛。

臨床檢查後,骨科醫生會為病人照腳部X光片(要病人站著照的方為正確)。正常拇趾外翻角度應少於15度;患上此症拇趾外翻角度則超過15度。此外,醫生還會從X光片,量度其他角度以確定嚴重性並決定診治方法。
3.jpg
回覆 讚好 不讚 使用道具

舉報

399

主題

2萬

回帖

8萬

積分

超級元老

望靚女,眼金金!

積分
85184

「潮流時尚」勳章「貼圖之星」勳章「天蠍座」勳章收藏家勳章141紳士勳章成家立室勳章「型男嗜好」勳章「玄機妙算」勳章百萬富翁勳章萬千寵愛勳章傑出成就勳章高級元老勳章超級元老勳章「友誼大使」勳章「為食之神」勳章「能言善辯」勳章「數碼達人」勳章精華帖王勳章論譠元老勳章

 樓主| 發表於 2011-7-21 13:37:47 | 顯示全部樓層
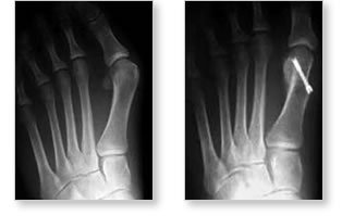
治療及預防:

當第一蹠骨頭部受擠壓而產生關節滑液囊腫(Bunion)發炎,可服用消炎止痛葯。而拇趾外翻初期而又不嚴重,病人可選擇矽膠墊如分趾墊或鞋墊等去舒緩久站走路及穿鞋的疼痛。

如情況嚴重,例如持久疼痛而影響走路站立,就要考慮動手術。傳統上,骨科手術主要是把收緊了的肌腱放鬆以及切骨矯形。皮膚傷口兩星期可癒合,而切骨矯形側需要六至八星期癒合。

雖說拇趾外翻有先天遺傳的影響,但少穿高跟鞋,多穿平底、鞋頭又有足夠空間的鞋,都是減低拇趾外翻發生及病徵的方法。
4.jpg
5.jpg
6.jpg
回覆 讚好 不讚 使用道具

舉報

337

主題

3萬

回帖

100

積分

初級會員

積分
100

百萬富翁勳章千億富豪勳章精華帖王勳章萬千寵愛勳章141榮譽勳章論譠元老勳章高級元老勳章超級元老勳章究極元老勳章傑出成就勳章「友誼大使」勳章「博學多才」勳章「能言善辯」勳章「型男嗜好」勳章「陽光田園」勳章「魚樂無窮」勳章「遊藝專家」勳章「演藝傳播」勳章「廣告/設計」勳章「爬山遠足」勳章「各行各業」分區勳章長時間服務勳章群組紀念勳章勝利勳章成家立室勳章

發表於 2011-7-21 15:23:54 | 顯示全部樓層
好恐怖~~
愛靚
到頭來
變成
唔靚...
回覆 讚好 不讚 使用道具

舉報

39

主題

2萬

回帖

100

積分

初級會員

積分
100

「潮流時尚」勳章「飲食健康」勳章「玄機妙算」勳章百萬富翁勳章萬千寵愛勳章傑出成就勳章論譠元老勳章高級元老勳章超級元老勳章

發表於 2011-7-21 15:31:40 | 顯示全部樓層
好恐怖呀!!!
跳 ballet 都好似會甘
回覆 讚好 不讚 使用道具

舉報

4

主題

412

回帖

100

積分

初級會員

積分
100
發表於 2011-8-5 17:52:27 | 顯示全部樓層
其實而家D鞋好多都太尖頭,
如果腳趾公迫到開始彎,之後都好易越黎越彎,
因為行路時受力,會令情況變差,
所以間唔中著下就好啦~
回覆 讚好 不讚 使用道具

舉報

91

主題

518

回帖

100

積分

初級會員

積分
100
發表於 2011-8-27 11:11:18 | 顯示全部樓層
我聽講要改善,每晚訓覺腳趾都夾住舊海錦訓就得..
回覆 讚好 不讚 使用道具

舉報

205

主題

5803

回帖

100

積分

初級會員

健康財富滾滾來

積分
100

傑出成就勳章論譠元老勳章

發表於 2011-9-3 14:02:28 | 顯示全部樓層
多謝分享!
得閒玩下3P頭腦都靈活D
回覆 讚好 不讚 使用道具

舉報

421

主題

2222

回帖

100

積分

初級會員

積分
100

熱心捐助勳章百萬富翁勳章論譠元老勳章「友誼大使」勳章

發表於 2011-10-3 00:59:24 | 顯示全部樓層
WA~~好奇異WO@
無人無物一碌柒
回覆 讚好 不讚 使用道具

舉報

99

主題

2595

回帖

100

積分

初級會員

積分
100
發表於 2011-10-15 22:30:08 | 顯示全部樓層
跟骨內翻或o形腿患者都經常見到拇趾外翻…
不可一,不可再
向沉船說不,向沉迷說不
回覆 讚好 不讚 使用道具

舉報

89

主題

5916

回帖

100

積分

初級會員

積分
100

「友誼大使」勳章百萬富翁勳章高級元老勳章超級元老勳章傑出成就勳章論譠元老勳章

發表於 2011-10-21 11:27:26 | 顯示全部樓層
師兄,你係做醫療?
Never ever depend on governments or institutions to solve any major problems. All social change comes from the passion of individuals. Margaret Mead
回覆 讚好 不讚 使用道具

舉報

399

主題

2萬

回帖

8萬

積分

超級元老

望靚女,眼金金!

積分
85184

「潮流時尚」勳章「貼圖之星」勳章「天蠍座」勳章收藏家勳章141紳士勳章成家立室勳章「型男嗜好」勳章「玄機妙算」勳章百萬富翁勳章萬千寵愛勳章傑出成就勳章高級元老勳章超級元老勳章「友誼大使」勳章「為食之神」勳章「能言善辯」勳章「數碼達人」勳章精華帖王勳章論譠元老勳章

 樓主| 發表於 2011-10-21 13:20:04 | 顯示全部樓層
plankola 發表於 2011-10-21 11:27
師兄,你係做醫療?

專醫囡囡joking
回覆 讚好 不讚 使用道具

舉報

89

主題

5916

回帖

100

積分

初級會員

積分
100

「友誼大使」勳章百萬富翁勳章高級元老勳章超級元老勳章傑出成就勳章論譠元老勳章

發表於 2011-10-21 14:16:13 | 顯示全部樓層
playboy18 發表於 2011-10-21 13:20
專醫囡囡joking

甘勁!幾時教我!
Never ever depend on governments or institutions to solve any major problems. All social change comes from the passion of individuals. Margaret Mead
回覆 讚好 不讚 使用道具

舉報

您需要登錄後才可以回帖 登錄 | 註冊

本版積分規則

Archiver|聯絡我們|141華人社區

GMT+8, 2026-4-23 22:57

Powered by Discuz! X3.5

© 2001-2026 Discuz! Team.

快速回覆 返回頂部 返回列表