找回密碼
 註冊
查看: 5704|回覆: 1

英國男感染冠病確診後  癌細胞竟離奇消失

  [複製鏈接]
發表於 2021-4-14 14:50:14 | 顯示全部樓層 |閱讀模式
英國男感染冠病確診後     癌細胞竟離奇消失





英國 康沃爾 Cornwall  一名61歲男子在2020年夏天被診斷出患有 霍奇金淋巴瘤
(Hodgkin's lymphoma),但在感染「武漢肺炎」病後,體內的癌細胞卻
離奇消失了。

霍奇金淋巴瘤 (Hodgkin's lymphoma) 是一种血癌,在英國每年約有 2,100人患上
該癌症。

該名英國男子在被診斷患有癌症幾天后,確診感染「武漢肺炎」病,並且因情況嚴重
須入院治療。在留醫11天后康復出院,並在進行了一次電腦掃描,發現幾週前散佈
在他體內的癌細胞幾乎消失了。

霍奇金淋巴瘤 癌細胞自然消失的案例非常罕見,全球也僅有數十宗。

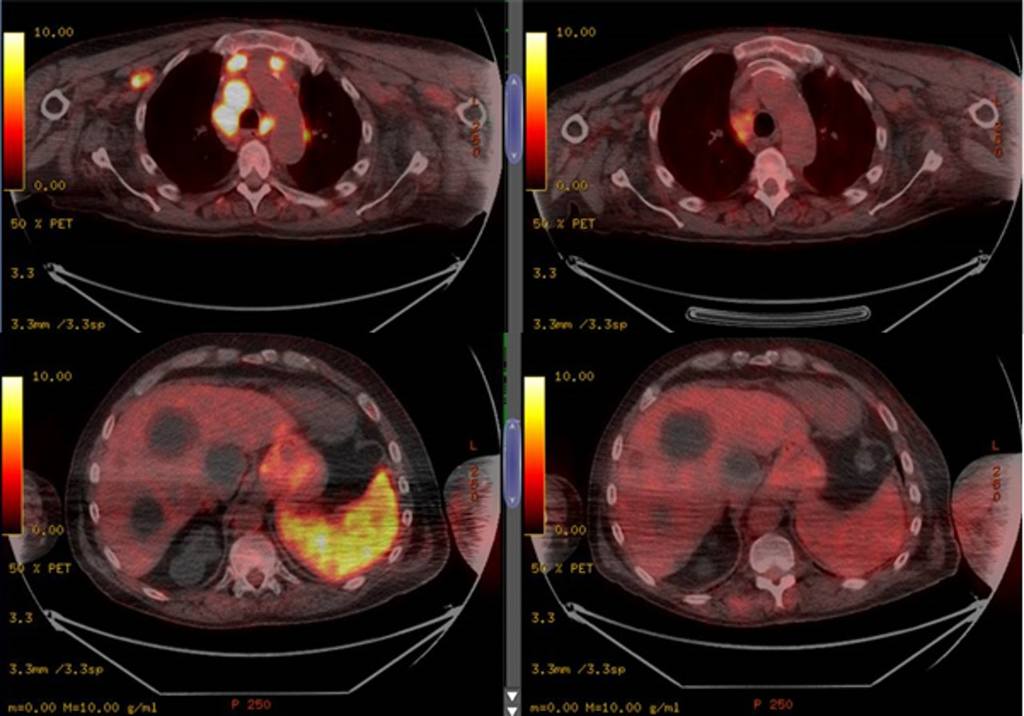
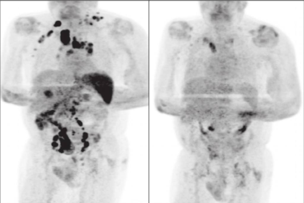
《英國血液學雜誌》(British Journal of Haematology)近日發表臨床病例報告,1名患腎衰竭
的61歲英國男子移植腎臟失敗後,3年來沒再接受免疫抑制治療。早前男子因體重銳減及淋巴結腫大
被送往醫院血液科檢查,確診霍奇金氏淋巴瘤(Hodgkin's lymphoma),癌細胞更已擴散至全身。

英國男子之後再因呼吸困難及氣促入院,不幸再被驗出對新冠病毒呈陽性反應,經過11日治療後出院。

在家休養期間,英國男子沒有獲處方免疫療法或皮質類固醇藥物。4個月後,醫護人員為男子進行
斷層掃描,竟發現他淋巴結腫大的情況有所減輕,體內腫瘤亦大規模消失,PCR腫瘤指數也大幅下降。

1-2-202.jpg
1-2-201.jpg
發表於 2021-4-14 16:59:40 | 顯示全部樓層
有無咁神奇。
我遲 D 先比分你。
回覆 讚好 不讚 使用道具

舉報

您需要登錄後才可以回帖 登錄 | 註冊

本版積分規則

Archiver|聯絡我們|141華人社區

GMT+8, 2026-4-26 06:08

Powered by Discuz! X3.5

© 2001-2026 Discuz! Team.

快速回覆 返回頂部 返回列表